Saturday, February 7, 2026
Home » Soluciones avanzadas para la pérdida dental en Madrid sin pérdida ósea

Soluciones avanzadas para la pérdida dental en Madrid sin pérdida ósea

by Hernandez

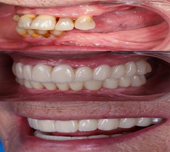
En casos de pérdida ósea que afectan la salud dental, no todos los implantes convencionales son una opción. En estos casos, existen nuevas técnicas como los implantes sin hueso y los implantes cigomáticos, que permiten restaurar tanto la función como la estética dental. Estas técnicas han impulsado la tendencia en odontología restauradora en España, especialmente en zonas como Madrid y el próspero Barrio de Salamanca, donde cada vez más personas buscan los mejores tratamientos dentales. Al conocer estas posibilidades, los pacientes pueden tomar decisiones más acertadas sobre su salud dental.

Lo que los pacientes con pérdida ósea deben saber sobre los implantes sin hueso

Los implantes sin hueso, o implantes que no requieren mucho injerto óseo, están diseñados para personas con una importante pérdida ósea. Suelen requerir una buena base de hueso maxilar para garantizar su durabilidad y estabilidad. Sin embargo, la edad avanzada, la enfermedad periodontal o una lesión pueden impedir la colocación de un implante convencional debido a la pérdida ósea. La solución a este problema en implantes sin hueso consiste en emplear diseños y procedimientos especiales que permiten su instalación segura incluso en zonas con mínima estructura ósea.

Beneficios de los implantes cigomáticos en casos complejos.

Los implantes cigomáticos representan una técnica novedosa y mejorada para mejorar la salud de quienes presentan una gran pérdida ósea en el maxilar superior. A diferencia de los implantes convencionales, estos no dependen del maxilar para su estabilidad. En cambio, se anclan directamente en el hueso cigomático, una zona más sólida y resistente cercana al pómulo. Esta técnica reduce la cantidad de injerto óseo necesario y acelera el proceso de tratamiento. Los pacientes se benefician de una recuperación rápida, una menor cantidad de cirugías y una mejora inmediata en la masticación y la comunicación. Los implantes cigomáticos están ganando popularidad en Madrid, ya que pueden utilizarse en restauraciones dentales complejas.

Evolución de los procedimientos de implantes para incorporar técnicas menos invasivas.

La implantología dental ha permitido realizar cirugías como implantes sin hueso e implantes cigomáticos con mayor seguridad y fiabilidad. La tecnología de imagen avanzada disponible para los odontólogos, como la tecnología 3D, permite planificar con precisión la colocación de los implantes para que sean lo más estables y estéticamente óptimos posible. Estas nuevas técnicas no solo aumentan la probabilidad de éxito de los procedimientos, sino que también reducen los riesgos asociados a las cirugías de implantes tradicionales. Los pacientes que antes tenían pocas opciones debido a la pérdida ósea ahora pueden considerar soluciones a largo plazo sin necesidad de injertos óseos significativos.

Cómo influyen los implantes avanzados en la experiencia y recuperación de los pacientes

Una de las mayores ventajas de estos nuevos métodos de implantes es que facilitan una recuperación más cómoda para los pacientes. Los implantes sin hueso e implantes cigomáticos reducen la necesidad de múltiples intervenciones, lo que implica menos complicaciones y una cicatrización más rápida. La mayoría de las personas experimentan leves molestias tras la cirugía y pueden retomar sus actividades habituales en pocos días. Las revisiones periódicas garantizan que los implantes se integren correctamente con el hueso y los tejidos circundantes, logrando un resultado estable y duradero.

¿Quiénes pueden optar por implantes sin hueso e implantes cigomáticos?

Estas intervenciones son ideales cuando se ha perdido gran parte del hueso debido a enfermedad periodontal, extracción dental o algún accidente. Las personas mayores, en particular, pueden experimentar dificultades con los implantes convencionales, ya que sus huesos se debilitan con el tiempo. Los implantes sin hueso y los implantes cigomáticos son también la mejor solución para quienes buscan una solución duradera que restaure tanto la funcionalidad como la estética. Los profesionales dentales del Barrio de Salamanca, en Madrid, cuentan con una amplia experiencia en la prestación de estos servicios, lo que garantiza que cada paciente reciba una atención personalizada.

Conclusión

Los implantes sin hueso y los implantes cigomáticos son una solución ideal para las personas en Madrid y el Barrio de Salamanca que sufren problemas graves de pérdida ósea y dental. Las nuevas técnicas ofrecen a los pacientes resultados fiables, son mínimamente invasivas y les permiten recuperar la función oral, lo que aumenta su confianza y mejora su calidad de vida. Quienes busquen asistencia profesional sobre estos modernos procedimientos de implantación pueden encontrarla en Alejandroprietodental.com. Este sitio web cuenta con abundante información y profesionales que pueden ayudarle, garantizando que cualquier persona pueda obtener la atención dental que necesita.

You may also like

TOP MOST

OUR PICKS

© 2024 All Right Reserved. Designed and Developed by Squaremyhealth